Á¤È®ÇϰÔ! ÀúÅëÁõÀ¸·Î!
½Å¼ÓÇϰÔ!
Guide Surgery Osstem Implant
´Ù»ê¼¾Æ®·²Ä¡°ú¿¡¼´Â
ÀÓÇöõÆ® Áø·á½Ã °¡À̵带 ÅëÇØ
°èȹµÈ À§Ä¡¿¡ Á¤È®ÇÏ°í ¾ÈÀüÇÏ°Ô Áø·áÇÕ´Ï´Ù.
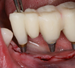
ÀÕ¸ö Àý°³ °úÁ¤ ¾øÀÌ ½Ä¸³ °¡´ÉÇÑ ÀÕ¸ö¿¡ ÀÛÀº ±¸¸ÛÀ» ³»¾î
Àΰø»Ñ¸®¸¦ ½Ä¸³Çϱ⠶§¹®¿¡ ȸº¹±â°£ÀÌ ºü¸£°í ÅëÁõµµ ÁÙÀÏ ¼ö ÀÖ½À´Ï´Ù.
